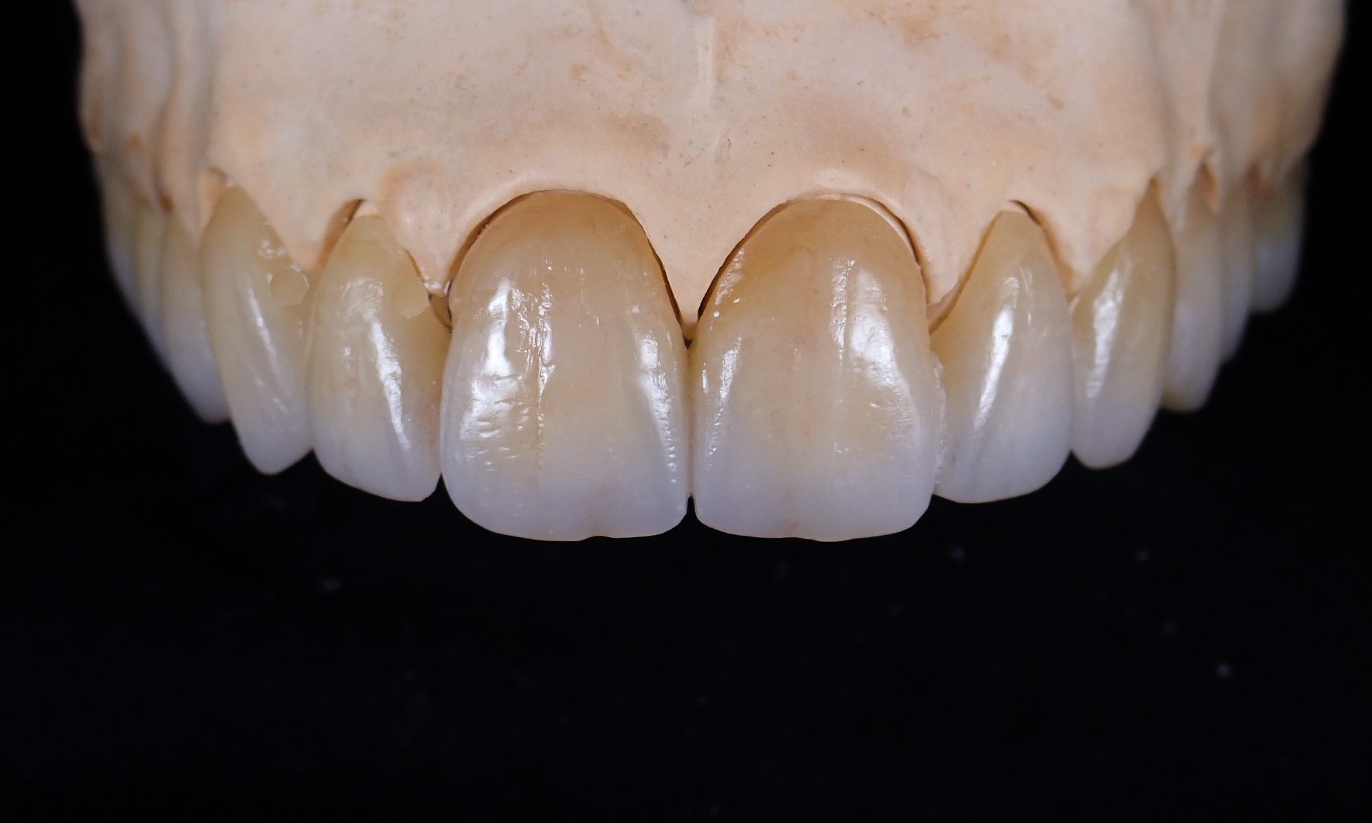
Monolitic Zirconia

Zirconia merupakan bahan restorasi gigi yang sudah sering digunakan dari beberapa tahun lalu, seiring perkembangan dunia kedokteran gigi zirconia telah berkembang menjadi beberapa generasi. Secara general dapat dibagi menjadi 3Y, 4Y dan 5Y. Untuk monolitik zirconia biasa yang digunakan adalah Cubic Zirconia atau tetragonal Zirconia, keunggulan dari Cubic adalah translusensi dari material tersebut yang sudah menyerupai gigi, namun kelemahannya adalah kekuatannya yang berkurang dibandingkan zirconia sebelumnya.

Generasi terakhir dari zirconia adalah 4Y zirconia atau tetragonal zirconia, tetragonal zirconia memiliki keunggulan dibandingkan 3Y dan 5Y karena tetragonal memiliki keseimbangan kekuatan dan translusensi yang bagus sehingga banyak dapat digunakan untuk berbagai kasus dokter gigi sehari hari.
Cubic Zirconia dengan menggunakan Multi Layer block tanpa menggunakan layering porcelain.
Tampak Samping
Tampak Depan
Tampak Oklusal


Monolitic Zirconia dapat digunakan untuk kasus sehari hari karena sudah memiliki kekuatan dan estetika yang cukup. Yang perlu diperhatikan sebagai pemilihan bahan adalah kesehatan dari jaringan periodontal pada gigi tersebut, bila kesehatan periodontal kurang bagus maka lebih baik menggunakan bahan yang relatif lebih ringan seperti PEEK/ PEKK dengan lapisan komposit

Leave a Reply

Your email address will not be published. Required fields are marked *