Anterior Mono Zirconia by drg. Onny

Kondisi gigi sebelum dilakukan preparasi, pasien mengeluh tentang estetika gigi anterior
Dilakukan digital mockup dan dilakukan print 3d model untuk mentransfer mockup di komputer kedalam mulut pasien
Setelah dilakukan trial mockup pada 4 gigi anterior
Pengambilan warna dengan menggunakan teknik elaboraid untuk mengopi warna gigi antagonis pada gigi bawah
Tampak gigi monolitik zirconia pada model.
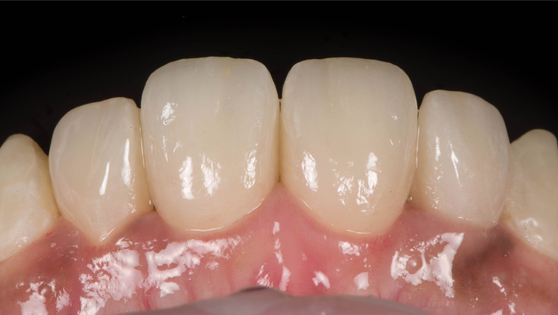
Foto setelah pemasangan monolitik zirconia 4 gigi anterior.

kasus oleh drg. Onny Eryanto

Leave a Reply

Your email address will not be published. Required fields are marked *